
Glendale’s Guide to Emergency Care for Chipped, Cracked, or Broken Teeth
The jarring crunch of biting down on something hard, a sudden impact during a weekend game, or an unexpected fall—these are moments that can instantly turn a normal day into a dental emergency. A chipped, cracked, or broken tooth is more than a cosmetic issue; it can be painful, alarming, and if not treated promptly, can lead to more serious dental problems. Knowing what to do in the immediate aftermath can make a significant difference in the outcome for your tooth.For residents in and around Glendale, CA, understanding the steps to take and the treatments available is crucial. At Infinite Dental Wellness, we see patients who are distressed and in pain due to dental trauma. This guide will serve as your comprehensive resource for handling a chipped, cracked, or broken tooth. We will cover immediate first aid, how to assess the severity of the damage, and the modern restorative solutions we offer, from dental bonding to crowns and veneers. A dental injury is a time-sensitive issue, and our goal is to empower you with the knowledge to act fast and save your smile.This guide will walk you through real emergency scenarios, explain the different types of tooth fractures, and detail the professional treatments that can restore your tooth’s function and appearance. Remember, a broken tooth emergency requires swift, expert care.First Aid for a Broken Tooth: What to Do Immediately
When a tooth breaks, chips, or cracks, panic can set in. However, taking a few calm, measured steps right away can help manage pain, prevent further damage, and increase the chances of a successful restoration.Step 1: Collect and Preserve the Tooth Fragment
If a piece of your tooth has broken off, try to find it. If you can locate the fragment, rinse it gently with water or milk—do not scrub it or use any soap. Store the piece in a small container filled with milk or your own saliva. In some cases, your dentist may be able to reattach the fragment to your tooth. Do not store it in plain water for an extended period, as this can damage the cells on the root surface.Step 2: Rinse Your Mouth
Gently rinse your mouth with warm salt water (dissolve half a teaspoon of salt in a glass of warm water). This helps to clean the area, remove any debris, and can soothe the soft tissues of your mouth. Swish the solution gently and spit it out. Avoid aggressive rinsing, which could dislodge a blood clot if there is bleeding.Step 3: Manage Pain and Swelling
A broken tooth can be quite painful, especially if the inner pulp is exposed.- Pain Relief: You can take over-the-counter pain relievers like ibuprofen or acetaminophen to manage the discomfort. Avoid aspirin, as it can increase bleeding.
- Cold Compress: Apply a cold compress or an ice pack wrapped in a towel to the outside of your cheek or lip over the injured area. This will help reduce swelling, numb the pain, and constrict blood vessels to minimize bleeding. Apply it for 15-20 minutes at a time.
Step 4: Control Any Bleeding
If the area is bleeding, take a clean piece of gauze or a tea bag and apply gentle, firm pressure to the site for about 10-15 minutes, or until the bleeding stops. The tannins in tea can help promote clotting.Step 5: Protect the Damaged Tooth
If the broken tooth has a sharp or jagged edge, it can cut your tongue, cheek, or lips. You can cover the edge with a piece of sugar-free chewing gum or dental wax (available at most pharmacies) to create a temporary smooth surface. This is a short-term solution to prevent further injury while you wait to see your dentist.Step 6: Call Your Dentist Immediately
This is the most critical step. A chipped or broken tooth is a dental emergency that needs professional evaluation as soon as possible. Explain the situation to your dental office. Be ready to describe how the injury occurred, the extent of the damage you can see, and the level of pain you are experiencing. This information helps the dental team prepare for your visit and provide guidance over the phone. At Infinite Dental Wellness, we prioritize these cases and offer same-day emergency availability to address your needs quickly.Types of Tooth Fractures: From Minor Chips to Severe Breaks
Not all tooth damage is the same. The type and severity of the fracture will dictate the urgency of the situation and the kind of treatment required. Understanding these differences can help you communicate more effectively with your dentist.Minor Chips (Craze Lines)
Craze lines are tiny, vertical cracks that appear only in the outer enamel of the tooth. They are very common in adult teeth and are usually just a cosmetic concern. They are shallow, cause no pain, and typically do not require treatment. However, it’s a good idea to have them checked during your regular dental visit to ensure they are not a sign of a deeper issue.Chipped Tooth
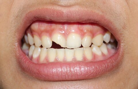
A chipped tooth involves the breaking off of a small piece of the enamel. This is one of the most common types of dental injury. A minor chip may not cause any pain and might only be noticeable by its rough texture. A larger chip might be more visible and could expose the dentin layer beneath the enamel, leading to some sensitivity. These usually are not considered an urgent emergency unless they are causing pain or have a sharp edge, but they should be repaired to prevent further damage and restore the tooth’s appearance.Cracked Tooth
A cracked tooth in Glendale can be a more complex issue. A crack can extend from the chewing surface of the tooth vertically down towards the root. Sometimes the crack may extend below the gum line. A cracked tooth may not have any broken-off pieces, making it difficult to diagnose. Symptoms often include erratic pain when chewing, especially when you release the bite, and sensitivity to temperature changes. Early diagnosis and treatment are critical to save a cracked tooth.Broken Cusp
Get Your Confident Smile — Book Today
Ready when you are. Our team at Infinite Dental Wellness makes scheduling a breeze and welcomes new patients for cleanings, cosmetic care, or dental emergencies.
Schedule a VisitSevere Break
A severe break is a significant fracture where a large piece of the tooth has broken off, often exposing the sensitive inner layers—the dentin and the pulp. This type of break is usually very painful because the nerve-filled pulp is exposed to air, saliva, and temperature changes. This is a clear broken tooth emergency that requires immediate dental intervention to relieve pain and prevent infection.Split Tooth
A split tooth is often the result of an untreated cracked tooth. The crack has progressed to the point where the tooth has split into two or more distinct, movable segments. At this stage, it is often impossible to save the entire tooth. Depending on the position and extent of the fracture, your dentist might be able to save a portion of the tooth by removing one of the segments.Vertical Root Fracture
This is a crack that begins in the root of the tooth and extends upward toward the chewing surface. These fractures often show minimal symptoms initially and can go undetected for a long time. They are often discovered when the surrounding bone and gum become infected. Unfortunately, teeth with vertical root fractures usually need to be extracted.Professional Treatment for Damaged Teeth in Glendale
Once you arrive at our office, our first priority is to get you out of pain and assess the damage thoroughly. Using a combination of visual examination and dental X-rays, we can determine the extent of the fracture and recommend the best course of action.Dental Bonding
For minor chips or small cracks, dental bonding is a quick, effective, and affordable solution.- The Process: The dentist applies a tooth-colored composite resin to the damaged area. First, the tooth surface is lightly etched to create a rough texture that helps the resin adhere. A conditioning liquid is applied, followed by the resin, which is molded and shaped to match the natural contour of your tooth. A special curing light is then used to harden the material, “bonding” it to the tooth. Finally, the bonded area is polished to blend seamlessly with the rest of your tooth.
- Best For: Small cosmetic chips on front teeth that are not subject to heavy chewing pressure.
- Advantages: It is a single-visit procedure, relatively inexpensive, and conservative (removes very little tooth structure).
Dental Veneers
Veneers are thin, custom-made shells of tooth-colored material (usually porcelain) designed to cover the front surface of teeth.- The Process: A small amount of enamel is removed from the front of the tooth to make room for the veneer. An impression of the tooth is taken and sent to a dental lab where the veneer is fabricated. While you wait, a temporary veneer may be placed. In your second visit, the permanent veneer is bonded to your tooth.
- Best For: Chipped or cracked front teeth, especially when there are other cosmetic concerns like discoloration or gaps. Veneers provide a complete smile makeover.
- Advantages: Porcelain veneers are highly durable and stain-resistant, providing a beautiful, natural-looking, and long-lasting result.
Dental Crowns
A dental crown, or “cap,” is a restoration that covers the entire visible portion of a tooth above the gum line. It restores the tooth’s original shape, size, strength, and appearance.- The Process: The dentist will numb the area and reshape the damaged tooth by filing it down to make space for the crown. An impression is taken to create a custom-fit crown. A temporary crown is placed to protect the tooth. In a subsequent visit, the permanent crown is cemented into place.
- Best For: Severely cracked or broken teeth, teeth with large fillings that have fractured, teeth that have undergone root canal therapy, or a broken cusp. Crowns are the go-to solution for significant structural damage.
- Advantages: A crown provides full protection for a weakened tooth, preventing it from fracturing further. It restores full chewing function and can be made from various materials, including highly aesthetic porcelain, to match your natural teeth.
Root Canal Therapy
If a break is severe enough to expose the dental pulp, a root canal is necessary to save the tooth. The pulp contains the tooth’s nerves and blood vessels, and once exposed, it becomes inflamed and infected.- The Process: During a root canal, the dentist removes the infected or inflamed pulp, carefully cleans and disinfects the inside of the tooth, and then fills and seals the space. After a root canal, the tooth is no longer vital and becomes more brittle, so it almost always needs to be protected with a dental crown.
- Best For: A severe break or deep crack that has compromised the pulp.
- Advantages: This procedure eliminates the infection and pain while saving the natural tooth from extraction.
Tooth Extraction
While we always strive to save a natural tooth, sometimes the damage is too extensive. For a tooth that is split, has a vertical root fracture, or is broken off below the gum line, extraction may be the only viable option to prevent infection and protect your overall oral health. If an extraction is necessary, we will discuss replacement options with you, such as a dental implant, which is the gold standard for replacing a missing tooth.Why You Shouldn’t Ignore a Chipped or Cracked Tooth
It can be tempting to ignore a small chip or a crack that isn’t causing pain. However, even minor damage can lead to major problems down the line.- Risk of Further Damage: A small crack can act as a weak point. The daily pressures of biting and chewing can cause the crack to spread, eventually leading to a larger piece of the tooth breaking off or the tooth splitting completely. What could have been a simple bonding procedure might turn into a situation requiring a crown or even an extraction.
- Increased Risk of Decay: A chip or crack creates a rough surface and a new entry point for bacteria. Plaque can easily accumulate in these crevices, making the tooth highly susceptible to decay. If decay reaches the pulp, you will be facing an infection and the need for a root canal.
- Infection and Abscess: If a crack extends into the pulp, bacteria can invade the innermost part of the tooth, leading to a painful infection and the formation of a dental abscess. An abscess is a serious condition that can cause severe pain, swelling, and even spread to other parts of your body.
- Pain and Sensitivity: Even if it doesn’t hurt now, a damaged tooth can become sensitive over time as the protective enamel layer is compromised. This can make eating and drinking uncomfortable.
